Hà NộiMi mắt trái bé trai 18 tháng sưng to che kín nhãn cầu, người nhà tưởng lẹo mắt song bác sĩ chẩn đoán viêm hốc mắt nhiễm khuẩn tụ cầu vàng.
Kết quả xét nghiệm dịch mủ mi mắt bệnh nhi cho thấy dương tính tụ cầu vàng kháng thuốc (Methicillin-resistant Staphylococcus aureus – MRSA). ThS.BS Lương Thị Anh Thư, Trung tâm Mắt Công nghệ cao, Bệnh viện Đa khoa Tâm Anh, cho biết loại vi khuẩn này có khả năng gây nhiễm trùng nhanh và mạnh, có thể lan vào mô quanh hốc mắt, làm tổn thương dây thần kinh thị giác. Vùng mắt có nhiều mạch máu nối với não nên trường hợp nặng bệnh nhân nguy cơ viêm tĩnh mạch xoang hang, viêm màng não, nhiễm trùng huyết.
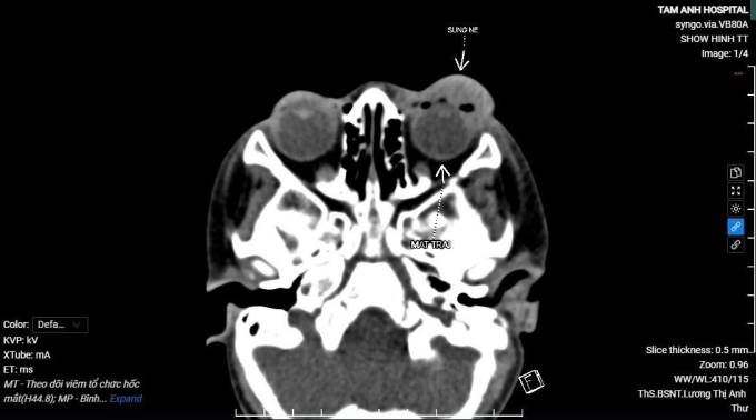
Với bé trai này, chụp CT đánh giá mức độ lan rộng và nguy cơ biến chứng ghi nhận nhãn cầu cân đối, tổn thương chưa ảnh hưởng tới hệ thống thần kinh thị giác hay các tổ chức sâu trong hốc mắt. Bé được bác sĩ khoa nhi và khoa mắt phối hợp điều trị, sử dụng kháng sinh đặc hiệu kết hợp chích dẫn lưu ổ mủ, sau 5 ngày mắt bớt sưng nề. Hai tuần sau, thị lực của bé trở lại bình thường.

Ảnh chụp CT hốc mắt của bệnh nhi. Ảnh: Bệnh viện Đa khoa Tâm Anh
Vi khuẩn tụ cầu vàng thường tồn tại da, tóc, đường hô hấp và bề mặt đồ vật. Theo bác sĩ Thư, khi hàng rào bảo vệ da bị phá vỡ như trầy xước bờ mi, viêm tuyến bờ mi, dụi mắt mạnh, vi khuẩn có thể xâm nhập và gây bệnh. Ở trẻ em, hệ miễn dịch chưa hoàn thiện, có thói quen dụi mắt trong khi không chủ động vệ sinh tay có thể khiến vi khuẩn lây nhiễm từ tay lên mắt.
Dấu hiệu nhiễm tụ cầu vàng ở mắt như sưng đỏ, hơi đau, khối cứng nhỏ, có thể giống lẹo hoặc chắp thông thường. Tình trạng diễn tiến nhanh, sưng lan rộng, tạo ổ áp xe hoặc gây viêm mô tế bào quanh mắt. Vùng mắt rất gần với các hốc xoang và tổ chức não nên nhiễm trùng dễ lan lên não gây các biến chứng nặng. Một số chủng tụ cầu vàng kháng thuốc khiến điều trị khó khăn.

Hình chụp mi mắt bé trai giảm sưng nề sau khi điều trị 5 ngày. Ảnh: Gia đình cung cấp
Nhiều phụ huynh tưởng trẻ bị lẹo mắt nên chườm ấm, nhỏ thuốc mắt hay đắp lá thuốc dễ dẫn đến nhiễm trùng, bỏ lỡ thời điểm “vàng” xử trí. Khi trẻ sưng đỏ mi mắt kèm sốt, sưng lan nhanh hoặc có mủ, nên đưa con đi khám ngay.
Khuê Lâm
| Độc giả gửi câu hỏi về bệnh nhãn khoa tại đây để bác sĩ giải đáp |
Nguồn: https://vnexpress.net/mat-be-trai-sung-hup-do-nhiem-khuan-tu-cau-vang-4928959.html


